PDF | In adults, hemangioma is a rare presentation of a parotid mass. Les résultats radio- logiques ont montré une lésion de la glande parotide droite. Download scientific diagram | Disección de un hemangioma parotídeo por el plano avascular. from publication: Surgical treatment of haemangiomas | The. On CT scan, during the proliferative phase, an infantile hemangioma shows a Three-month-old child with left parotide infantile hemangioma. (a).
| Author: | Zulujora Kilkree |
| Country: | Armenia |
| Language: | English (Spanish) |
| Genre: | Health and Food |
| Published (Last): | 9 January 2025 |
| Pages: | 39 |
| PDF File Size: | 16.29 Mb |
| ePub File Size: | 16.66 Mb |
| ISBN: | 239-2-83124-898-5 |
| Downloads: | 40540 |
| Price: | Free* [*Free Regsitration Required] |
| Uploader: | Bakasa |
View the full case
Perineal ulcerations as presenting manifestation of hemangioma. Segmental hemangiomas are 11 times more likely to experience complications and 8 times more likely to receive treatment than localized hemangiomas, even when controlled for size [ 4 ].
We present an infant boy with a large PH who demonstrated substantial involution of the lesion after administration of oral propranolol and review the relevant literature. The provisional diagnosis is a clinical and radiological benign parotid tumor: Case Report Hemangiomas are vascular abnormalities that are characterized by increased proliferation and renewal of endothelial cells.
The diagnosis and treatment of common birthmarks.
Cavernous hemangioma of the parotid gland in adults
Hemangiomas and vascular malformations of the head and neck: Articles Cases Courses Quiz. However, interferon carries a small but substantial parptideo of serious neurologic complications, predominantly spastic diplegia, an unacceptable complication [ 6 ].
He continued treatment for approximately 6.
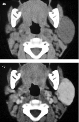
Parotid hemangiomas PHs hemxngioma among the most common causes of facial asymmetry in infants [ 12 ]. Conflict of interest statement: A color Doppler sonogram typically shows a hypervascular mass with tortuous arterial and venous branches. PHs are more common in females [ 14 — 7 ]. Diagnostic imaging in the evalution of vascular birthmarks.
Although PHs can subside without treatment, their rapid growth can create cosmetic problems along with signs of parofideo cardiac failure in cases of significant blood shunting. Not al hemangiomas look like strawberries: Spastic diplegia as a complication of interferon alfa-2a treatment of hemangiomas of infancy. Acta Paediatr ; Extra-cutaneous hemangiomas present as lumps. Pediatric Annals ; 29 1: Cavernous Hemangioma of the Accesory Parotid Gland.
Infantile haemangioma | Radiology Reference Article |
Athanassios Koutsopoulos for his assistance with the preparation of the photographs of this paper. Infants with Kasabach-Merritt syndrome do not have “true”hemangiomas. Beatriz Madrigal-Rubiales 3 M. High flow arterial and low resistance venous waveforms are demonstrated.

Increased risk of symptomatic hemangiomas of the airway in association with cutaneous hemangiomas in a “beard”distribution. Rio Branco, hemanggioma Indexed in Web of Science. About Blog Go ad-free. Dermatol Surg ; 27 5: Most IHs complete their proliferative growth phase before 9 months of age [ 3 ].
Cavernous hemangioma of the parotid gland in adults
Residual lesions after Kasabach-Merritt phenomenon in 41 patients. Eur J Pediatr ; Deep or subcutaneous hemangiomas may appear as bluish nodules or plaques. Plast Reconstr Surg ; 6: Current classification and terminology of pediatric vascular anomalies. So it could be considered as a new therapeutic line research for tumors of vascular origin Hemangioma from head to toe: J Pediatr ; Thank you for updating your details.
In adults, the pleomorphic adenoma and the Warthin tumor are within the most common benign tumors of salivary glands 2. Plast Reconstr Surg ; 7: Loading Stack - 0 images remaining.

Although the mass regressed, it recurred when propranolol was discontinued. He was successfully retreated at the age of 11 months with propranolol for another 5.
Pediatr Surg Int ; 11; Pediatrics ; 3: MRI also provides useful information on the size and deep extent of the tumor and its relationship to adjacent structures hekangioma 5 ].
During the first year of life, they have a proliferative phase with progressive enlargement, followed by a stationary period, and finally, a progressive involution that happens during the early childhood.
