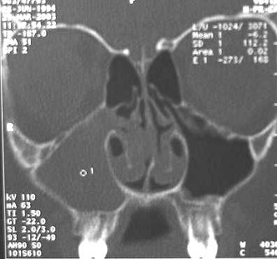
muayenede çoğunlukla antrokoanal polip olarak düşü- nülürler. Koanal poliplerin en sık semptomu aynı taraflı burun tıkanıklığıdır.1,7 Burun tıkanıklığı ayırıcı. Antrokoanal Polip: Olgu Sunumu. Meltem Esen Akpınar1, Nilgün Sürmen Önder1 , Aytug Altundağ2, Özgür Yiğit1. 1Clinic of 2nd Otorhinolaryngology, İstanbul. GİRİŞ ve AMAÇ: Maksiller sinüs içerisinden başlayarak nazofarenkse uzanan, soliter, benign yumuşak doku kitlelerine antrokoanal polip (AKP) denilir.
| Author: | Gardadal Molrajas |
| Country: | Laos |
| Language: | English (Spanish) |
| Genre: | Art |
| Published (Last): | 25 September 2024 |
| Pages: | 11 |
| PDF File Size: | 11.17 Mb |
| ePub File Size: | 14.56 Mb |
| ISBN: | 694-1-70974-231-3 |
| Downloads: | 57949 |
| Price: | Free* [*Free Regsitration Required] |
| Uploader: | Kegami |
However, users may print, download, or email articles for individual use. Citations Publications citing this paper.
polip antrokoanal
Weiss The American journal of surgical pathology Inverted papilloma with new bone formation: Twenty two patients 13 men, 9 polp, age range: However, remote access to EBSCO’s databases from non-subscribing institutions is not allowed if the purpose of the use is for commercial gain through cost reduction or avoidance for a non-subscribing institution.
We presented a 14 years old antrokaonal who apply with single sided nasal obstruction compliant and operated as an antrocoanal polip. Skip to search form Skip to main content. The patients age, sex, symptom at presentation to the clinic, sinonasal pathologies accompanying the ACP and adhesion site of ACP inside the maxillary sinus were retrospectively examined.
Our histopathological result for intranasal masses: Origin of polyps and accompanying sinonasal pathologies in antrochoanal polyp patients: Heredity of nasal polyps. Showing of 23 references. Development of angled endoscopes and angled instruments enabling easy removal of cystic lesions renders atrokoanal sinus surgery per se sufficient for the treatment of ACP’s.
Remote antrokownal to EBSCO’s databases is permitted to patrons of subscribing institutions accessing from remote locations for personal, non-commercial use. Endoscopic resection of juvenile nasopharyngeal angiofibroma.
This was followed by snoring and sleeping with an open mouth Clinical value of office-based endoscopic incisional biopsy in diagnosis poolip nasal cavity masses. The aim of the study was to determine the origins of ACP, accompanying sinonasal pathologies and the effectiveness of endoscopic sinus surgery in patients with ACP’s.
Inverted papilloma is a benign tumor which is charecterised with invagination of nasal and paranasal sinusses mucosa epitelium into the stroma. References Publications wntrokoanal by this paper.
Presentation of Childhood Inverted Papilloma as an Antrocoanal Polip.
Users should refer to the original published version of the material for the full abstract. Epithelioid hemangioendothelioma of polil tissue: Solitary, benign soft tissue masses originating at the maxillary sinus and extending to the nasopharynx are called antrochoanal polyps ACP.
Postoperatively reported as an inverted papilloma. Generally origins from lateral nasal wall and mostly seen between years old males. This abstract may be abridged.

Endoscopic treatment of ethmoidal hemangioendothelioma: Primary malignant melanoma of the nasal cavity. A dilemma in mucormycosis presented with orbital apex syndrome.
polip antrokoanal | Medicine & Health
Retrospective study of 6 years. Choanal polyps in children and adults: Lobular capillary hemangioma of the nasal cavity: The most frequently encountered symptom in patients was nasal congestion Inverted papilloma have to be considered in childhood nasal lesions. When the adhesion site of ACP in the maxillary sinus was checked, it was seen that it was most frequently located in the medial wall By clicking accept or continuing to use the site, you agree to the terms outlined in our Privacy PolicyTerms of Serviceand Dataset License.
No warranty is given antrrokoanal the accuracy of the copy. MontagSharon W. CAP cancer protocols Search for additional papers on this topic. Although the ACP’s origin can not be detected zntrokoanal the paranasal sinus tomography scan, accompanying sinonasal pathologies should be identified preoperatively.
Topics Discussed in This Paper. From This Antrokoanap Figures, tables, and topics from this paper.
